category: 妊婦な日々
DATE : 2011/06/09 (Thu)
でも、VHSテープなんですよね。。。
幸いなことにうちは、去年の末にDVDレコーダーを買い換えたんだけど、前の機種はVHSも見られるようになっていて、まだ捨てずに置いてあったので、つなげば見られる~~。
さてさて。
つわりが終わったら・・・いろいろ復活したいです。
おとうぱんは、頑張って家の事をしてくれるけれど。
やっぱりね・・・
だんだん家の中がすさんできてるので。
まずは、片付けと掃除がしたいですよーーーー。
がんばるぞー。
↓ 応援のぽちをよろぴこ
DATE : 2011/06/09 (Thu)
ああ・・・前回の更新から4週間がたってしまいました。
かあぱんは、なんとかやってます。
つわりもピークを超えた感じ。
やーーーっと、出口が見えてきた気がする(T▽T)
今、第9ラウンドってトコでしょうか。
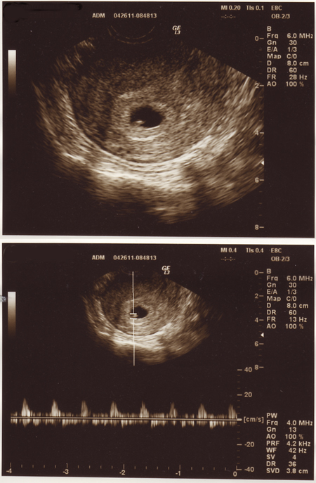
昨日は、4週間ぶりの妊婦検診に行ってきました。
7,8週頃の診察で、順調な感じだと、通常は次の検診って4週間後になるんですね~。
出血とか腹痛のトラブルもなければ問題ないはずなのに、この4週って結構長いです。
ただいま、推定12週と2日。
チビさんは順調でした。
なんじゃこりゃ?って感じですね(^^;;
頭が左側です。
どっち向いてるんだろう・・・・よくわからないけど。
なんだか、むぎゅーーーって狭そうですね。
違う角度から見ると、手をわしゃって動かしたり、うにうに動いてました。
頭の大きさを測ったのですが、23mmだそうです。
大体週数相応の大きさみたい。
もう、ちっちゃいキューピーちゃん人形ぐらいあるんだね。
でも、VHSテープなんですよね。。。
幸いなことにうちは、去年の末にDVDレコーダーを買い換えたんだけど、前の機種はVHSも見られるようになっていて、まだ捨てずに置いてあったので、つなげば見られる~~。
さてさて。
つわりが終わったら・・・いろいろ復活したいです。
おとうぱんは、頑張って家の事をしてくれるけれど。
やっぱりね・・・
だんだん家の中がすさんできてるので。
まずは、片付けと掃除がしたいですよーーーー。
がんばるぞー。
↓ 応援のぽちをよろぴこ
PR
category: 妊婦な日々
DATE : 2011/05/14 (Sat)
DATE : 2011/05/14 (Sat)
金曜日に検診に行ってきました。
母子手帳をもらってきてって言われてたので、行く前に役場によって母子手帳、ゲットしましたよ♪
5年前と違うのは、無料の診察クーポンが大増量!ってことですね。
前は、確か3枚か4枚・・・。
今は、なんと14枚も付いている!
順調に行けば、ずっと無料で検診が受けられるって流れになっていて、すごいなぁ・・・と。
だって、以前は検診の料金を自腹で払うと、1回5000円くらい払ってたもんね。
そして。今日はめでたくその妊婦検診第1回目となったわけです。
現在8週と4日。
ベビーさんは元気にしていました。

左側が頭。横向きかな。
背中丸めて、下向いてます。
よーく見ると、ちょろんと手足が出てるのがわかります。
ぽよんと浮いてる丸いのは、卵黄嚢(らんおうのう)という栄養で、赤ちゃんのお弁当。
さてさて。
赤ちゃんは順調そうだけど。
実はずっと出血が続いていて。
それは、ポリープからのものだといわれているので、気にしないでいたのですが、やっぱり気分がいいものでもなく・・・
ポリープは、安定期くらいまで様子見て、取りましょうって言ってたのに。
急に「取っちゃおうか!」って。
( ̄▽ ̄;;)?
え?もう?
まー、もう・・・えーようにしてくださいって事で、取っちゃいまいした。
さほど痛くもなく、すぐに処置はできました。
見せてもらったけど、なるほど・・・前よりも大物。
色が変わってきてたので、感染症をおこしても困るしねってことで早期に取ってしまう判断だったそうです。
これで出血が止まって、安心できるといいなぁ。。。
つわりもやっと折り返しを迎えた感じでしょうか。。。
さすがに気持ち悪さを逃す技みたいなのを習得してきたのだけど、ちょっと油断するとビッグウェーブがきたりで、まだまだヨレヨレです(T▽T)
がんばるぞー。
↓ ぽちりとな
母子手帳をもらってきてって言われてたので、行く前に役場によって母子手帳、ゲットしましたよ♪
5年前と違うのは、無料の診察クーポンが大増量!ってことですね。
前は、確か3枚か4枚・・・。
今は、なんと14枚も付いている!
順調に行けば、ずっと無料で検診が受けられるって流れになっていて、すごいなぁ・・・と。
だって、以前は検診の料金を自腹で払うと、1回5000円くらい払ってたもんね。
そして。今日はめでたくその妊婦検診第1回目となったわけです。
現在8週と4日。
ベビーさんは元気にしていました。
左側が頭。横向きかな。
背中丸めて、下向いてます。
よーく見ると、ちょろんと手足が出てるのがわかります。
ぽよんと浮いてる丸いのは、卵黄嚢(らんおうのう)という栄養で、赤ちゃんのお弁当。
さてさて。
赤ちゃんは順調そうだけど。
実はずっと出血が続いていて。
それは、ポリープからのものだといわれているので、気にしないでいたのですが、やっぱり気分がいいものでもなく・・・
ポリープは、安定期くらいまで様子見て、取りましょうって言ってたのに。
急に「取っちゃおうか!」って。
( ̄▽ ̄;;)?
え?もう?
まー、もう・・・えーようにしてくださいって事で、取っちゃいまいした。
さほど痛くもなく、すぐに処置はできました。
見せてもらったけど、なるほど・・・前よりも大物。
色が変わってきてたので、感染症をおこしても困るしねってことで早期に取ってしまう判断だったそうです。
これで出血が止まって、安心できるといいなぁ。。。
つわりもやっと折り返しを迎えた感じでしょうか。。。
さすがに気持ち悪さを逃す技みたいなのを習得してきたのだけど、ちょっと油断するとビッグウェーブがきたりで、まだまだヨレヨレです(T▽T)
がんばるぞー。
↓ ぽちりとな
category: 絵日記
DATE : 2011/05/04 (Wed)
DATE : 2011/05/04 (Wed)
先週あたりからつわりが本格化し、ぶっ倒れているかあぱんです。
「おかあぱん、調子が悪いんだ」
と子供たちには言って、しばらく過ごしていたのだけど。
どうも、長女ちゃん、次女ちゃんがキーキーケンカをするようになって、これはいけないなぁと思って、子供たちに赤ちゃんのことを伝えることにしました。
お風呂で。
二人に。
「実はね、おかあさんのおなかの中に赤ちゃんがいるんだ・・・・」
と、話したのですが。
聞いた瞬間、長女ちゃんは、ぱぁぁぁと顔をほころばせて言いました。

きっと、何日も調子の悪そうなおかあぱんを見て、不安を募らせていたのでしょう。
「なーーーんだ!」って、安心した顔をして。
喜んでくれました。
次女ちゃんは、長女ちゃんに合せて、いろいろしゃべっていて。
理解が出来なかったわけではないと思うけど、ちょっぴり不安げな表情。
長女ちゃんは、3歳のときに次女ちゃんが生まれたので、赤ちゃんの次女ちゃんのことを多少は覚えているだろうし、すっかりお姉ちゃんの顔でした。
一方、妹でしかなかった次女ちゃん。
いきなり、赤ちゃんが生まれるんだよって言われても、困ってしまったのかも知れません。
そして。お風呂から出て、就寝。
長女ちゃんと次女ちゃんは、リビングの隣の和室に入っていきました。
しばらくすると・・・・
次女ちゃんがすすすっと出てきて。
こう言いました。

・・・・(T▽T)
ありがとう。
次女ちゃんもちょっぴりお姉ちゃんの顔になっていました。
↓ ぽちりとな
「おかあぱん、調子が悪いんだ」
と子供たちには言って、しばらく過ごしていたのだけど。
どうも、長女ちゃん、次女ちゃんがキーキーケンカをするようになって、これはいけないなぁと思って、子供たちに赤ちゃんのことを伝えることにしました。
お風呂で。
二人に。
「実はね、おかあさんのおなかの中に赤ちゃんがいるんだ・・・・」
と、話したのですが。
聞いた瞬間、長女ちゃんは、ぱぁぁぁと顔をほころばせて言いました。
きっと、何日も調子の悪そうなおかあぱんを見て、不安を募らせていたのでしょう。
「なーーーんだ!」って、安心した顔をして。
喜んでくれました。
次女ちゃんは、長女ちゃんに合せて、いろいろしゃべっていて。
理解が出来なかったわけではないと思うけど、ちょっぴり不安げな表情。
長女ちゃんは、3歳のときに次女ちゃんが生まれたので、赤ちゃんの次女ちゃんのことを多少は覚えているだろうし、すっかりお姉ちゃんの顔でした。
一方、妹でしかなかった次女ちゃん。
いきなり、赤ちゃんが生まれるんだよって言われても、困ってしまったのかも知れません。
そして。お風呂から出て、就寝。
長女ちゃんと次女ちゃんは、リビングの隣の和室に入っていきました。
しばらくすると・・・・
次女ちゃんがすすすっと出てきて。
こう言いました。
・・・・(T▽T)
ありがとう。
次女ちゃんもちょっぴりお姉ちゃんの顔になっていました。
↓ ぽちりとな
category: 妊婦な日々
DATE : 2011/04/27 (Wed)
DATE : 2011/04/27 (Wed)
お知らせです。
BABYちゃんが出来ました。
ちょっとびっくり。
まだまだ推定6週目。
お知らせするのは早いかとも思ったけれど、今回やってきてくれたBABYちゃんも、もうるるる家の一員。
るるるな生活の一部ってことで、今後の経過なども記録していけたらと思います。
先月、断捨離!ってしたじゃないですか。
いろいろ捨てて、あーーースッキリ!って。
部屋がきれいになって、心も軽くなったら、なんだか気が抜けたんだね(笑
実は、早々に出血なんかも見られて。
今度もダメかなぁなんて思いながら、ドキドキしながら過ごしてました。
昨日、はじめて病院に行ってきました。
そしたら。

ちっちゃい、マメちゃんの姿と心拍を確認することが出来ました。
黒い丸が、胎嚢で赤ちゃんが入っている袋。その中の白いぽちが胎芽といって赤ちゃんの赤ちゃんです(^^
出血は、ポリープが出来ているからだって。
かなりの大物らしいけど・・・( ̄▽ ̄;;)
ポリープ自体はそんなに珍しいものではなくて、妊娠のホルモンバランスの崩れとかで、一部の組織が異常繁殖したりでぴょこっと出てくるできもののことです。
実は前回も出来てたのでチョキッと取ったんだけどね。
見せてもらったポリープは、ふやけたエノキみたいでした・・・今度は大!ってことでしめじくらいあるのかしら・・・( ̄▽ ̄;;)
まめちゃん、現在3ミリとのこと・・・・
この3ミリがっ!今のつわりの原因ですかぁ・・・(T▽T)と思うと、あんたすごいよって思います。
そうなんです。
るるるかあぱん、現在つわり中。
もーーーーー、毎日憂鬱。
おなかがすくと気持ち悪い食べづわり。けど間違ったものを食べると出てくる・・・
早く嵐が過ぎ去ることを願うばかり。
でも、長女ちゃんのときも次女ちゃんのときも2ヶ月くらいは続いたはず・・・
何度経験しても、なれないものです。つわり・・・
あとまだ2ヶ月・・・って思うと気が遠くなりそうだけど。
おなかのマメちゃんのために頑張るよ。
というわけで。
ブログ更新もぼちぼちになるかもですが、書きたいことはたくさんあるので、これからもたまには覗きに来て下さい。
↓ ぽちりとな
BABYちゃんが出来ました。
ちょっとびっくり。
まだまだ推定6週目。
お知らせするのは早いかとも思ったけれど、今回やってきてくれたBABYちゃんも、もうるるる家の一員。
るるるな生活の一部ってことで、今後の経過なども記録していけたらと思います。
先月、断捨離!ってしたじゃないですか。
いろいろ捨てて、あーーースッキリ!って。
部屋がきれいになって、心も軽くなったら、なんだか気が抜けたんだね(笑
実は、早々に出血なんかも見られて。
今度もダメかなぁなんて思いながら、ドキドキしながら過ごしてました。
昨日、はじめて病院に行ってきました。
そしたら。
ちっちゃい、マメちゃんの姿と心拍を確認することが出来ました。
黒い丸が、胎嚢で赤ちゃんが入っている袋。その中の白いぽちが胎芽といって赤ちゃんの赤ちゃんです(^^
出血は、ポリープが出来ているからだって。
かなりの大物らしいけど・・・( ̄▽ ̄;;)
ポリープ自体はそんなに珍しいものではなくて、妊娠のホルモンバランスの崩れとかで、一部の組織が異常繁殖したりでぴょこっと出てくるできもののことです。
実は前回も出来てたのでチョキッと取ったんだけどね。
見せてもらったポリープは、ふやけたエノキみたいでした・・・今度は大!ってことでしめじくらいあるのかしら・・・( ̄▽ ̄;;)
まめちゃん、現在3ミリとのこと・・・・
この3ミリがっ!今のつわりの原因ですかぁ・・・(T▽T)と思うと、あんたすごいよって思います。
そうなんです。
るるるかあぱん、現在つわり中。
もーーーーー、毎日憂鬱。
おなかがすくと気持ち悪い食べづわり。けど間違ったものを食べると出てくる・・・
早く嵐が過ぎ去ることを願うばかり。
でも、長女ちゃんのときも次女ちゃんのときも2ヶ月くらいは続いたはず・・・
何度経験しても、なれないものです。つわり・・・
あとまだ2ヶ月・・・って思うと気が遠くなりそうだけど。
おなかのマメちゃんのために頑張るよ。
というわけで。
ブログ更新もぼちぼちになるかもですが、書きたいことはたくさんあるので、これからもたまには覗きに来て下さい。
↓ ぽちりとな
category: るるる日記
DATE : 2011/04/20 (Wed)
DATE : 2011/04/20 (Wed)
今日の夕方、義父さんから携帯に電話が。
1コールで切れる・・・
ん?間違えた?
と思っていたら。
すぐにまたかかってきて。
次は。
1.5コールくらいだったかな。
出ようとしたら、また切れる・・・
かけなおそうかな・・・と思ったら。
今度は家の電話が。
2コール。
切れた・・・・
多分。
おそらく。
いや、絶対。
義父さんに違いない・・・( ̄▽ ̄;;)
そして。すぐに。
また、携帯に電話が。
1コールでとったどーーーーー!
やっと、つながる。
義父さん。
「レタス、いる?」
・・・・・( ̄▽ ̄)ハイ・・・・
義父さんからの電話はいつも、ワンギリから始まる。。。
なぜだ・・・・
↓ ぽちりとな
1コールで切れる・・・
ん?間違えた?
と思っていたら。
すぐにまたかかってきて。
次は。
1.5コールくらいだったかな。
出ようとしたら、また切れる・・・
かけなおそうかな・・・と思ったら。
今度は家の電話が。
2コール。
切れた・・・・
多分。
おそらく。
いや、絶対。
義父さんに違いない・・・( ̄▽ ̄;;)
そして。すぐに。
また、携帯に電話が。
1コールでとったどーーーーー!
やっと、つながる。
義父さん。
「レタス、いる?」
・・・・・( ̄▽ ̄)ハイ・・・・
義父さんからの電話はいつも、ワンギリから始まる。。。
なぜだ・・・・
↓ ぽちりとな



